Case 3: Full mouth all-on-6 in a patient with severe periodontal disease
Brief description of the case: the patient is 45 years old,female with severe periodontal disease,the loose teeth were extracted from 8th Feb 2023,the granulation tissue was scraped clean and implanted with bone powder for site preservation,followed by mandibular all-on-6 and then maxillary all-on-6,the final restoration is expected to be completed in the next few months.
Pre-operative X-ray panorama on 8/2/23.




Details of surgery on 8 Feb 23.
All stumps were removed, rinsed with hydrogen peroxide and implanted with bone powder for site preservation, using 0.5 g of bone powder and a 1.5*2 periosteum.

A review of the CBCT on 6/10/23 was more promising and a surgical plan was subsequently drawn up.
46

44

42

32

34

36

General schematic of the surgical programme

Detailed list of implant types and composite abutments to be prepared.

46 tooth position, implant model number 4810, RC series straight composite abutment;
44 tooth position, implant model number 4110, RC series straight composite abutment;
42 tooth position, implant model number 4110, RC series straight composite abutment; alternate implant model number 3310, alternate NC series straight composite abutment;
32 tooth position, implant model number 4110, RC series straight composite abutment; alternate implant model number 3310,. Alternate NC Series Straight Composite Abutment;
34 Dental Position, Implant Model No. 4110, RC Series Straight Composite Abutment;
36 Dental Position, Implant Model No. 4808, RC Series Straight Composite Abutment;
Intraoral photo before surgery on 11/10/23

Details of surgery on 11/10/23

42, implant model 4110;
32, implant model 4110;
36, implant model 4808;
34, implant model 4110;
46, implant model 4810;
44, implant model 4110;
X-ray review panoramic film after surgery on 17/10/23

Intraoral photo of temporary crown after surgery on 11/10/23



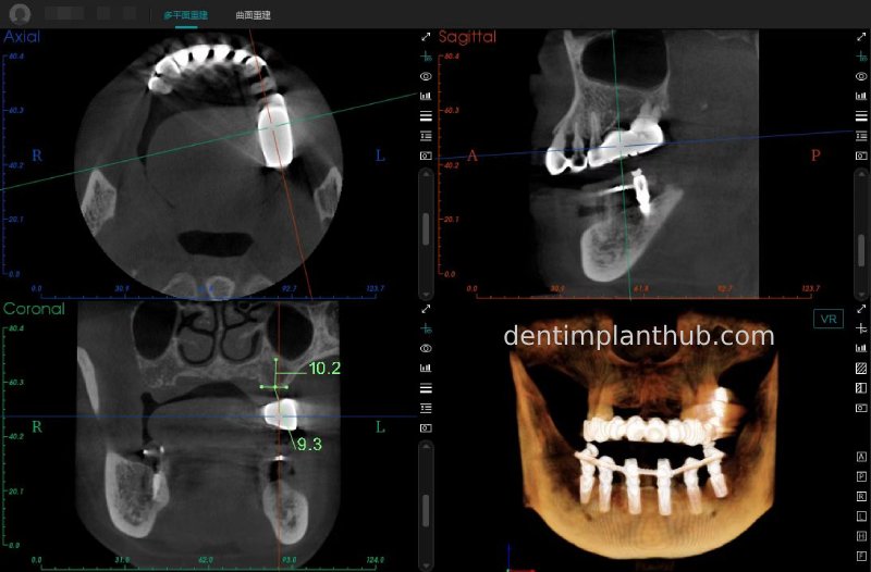
CBCT review results on 13 May '24
46


44


42


32


34


36


Maxillary condition as shown by CBCT on 13/5/24
16


14


12


22


24


26


Details of implant sites, protocols, implant types, composite abutments, 13.5.24

16, implant model 4810, requires an internal elevation of the maxillary sinus floor and an RC series straight composite abutment;
14, implant model 4812, requires an RC series 15° composite abutment;
12, implant model 4112, requires an RC series 30° composite abutment;
22, implant model 4112, requires an RC series 30° composite abutment;
24, implant model 4812, requiring an RC Series 15° composite abutment;
26, implant model 4810, requiring an internal maxillary sinus floor lift, requiring an RC Series straight composite abutment;
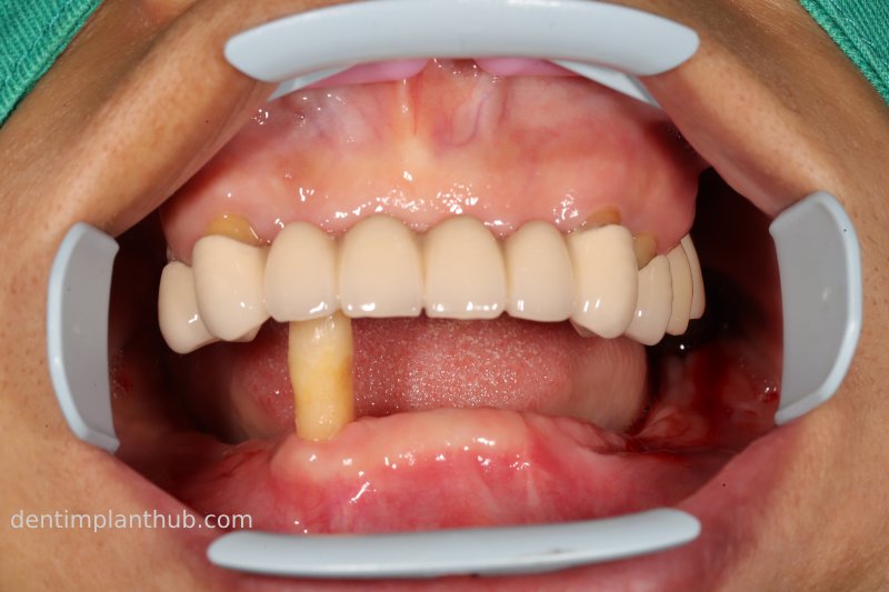
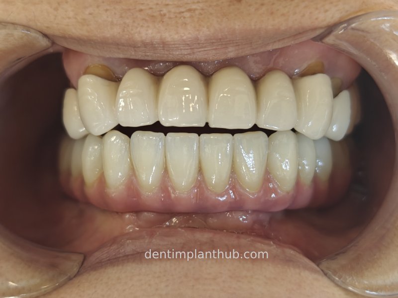
7/6/24 Mandibular preparation for wearing a fixed prosthesis supported by a maroon bridge

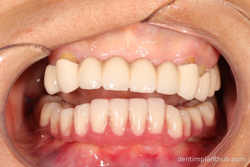
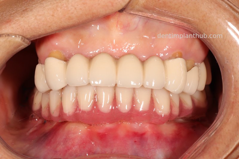
Intraoral photographs after putting it on

Intraoral photograph of the upper jaw after removal of the removable denture prior to surgery on 7 June '24


Details of surgery on 7 June 24

Removal of the remaining maxillary teeth
12, implant type 4112;
22, implant type 4112;
14, implant type 4812;
16, implant type 4810, an internal lift of the maxillary sinus floor was done, and half of the 0.25 g of bone powder was used to fill the gap;
24, implant type 4812;
26, implant type 4810, an internal lift of the maxillary sinus floor was done, and half of the 0.25 g of bone powder was used to fill the gap;
Intra-oral photographs during surgery


Post-surgical CBCT review photos

16

14

12

22

24

26

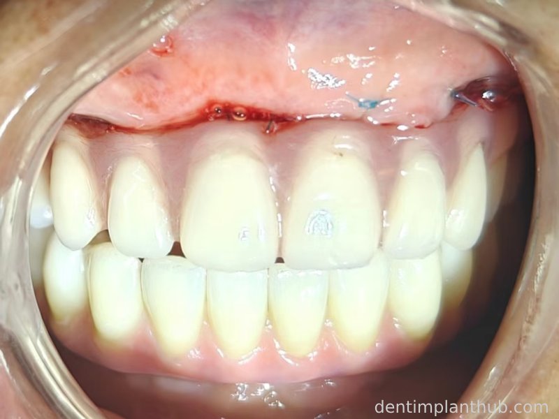
Temporary crown photograph of the upper jaw on 7 June 24

Photo of temporary crown worn into the mouth on the day of surgery, 7 June '24

A fixed prosthesis supported by a Marrowbridge will be worn in the coming months, and the case will be completed at that time.
